Das Kniegelenk

 

ist das größte Gelenk des menschlichen Körpers. Es handelt sich um ein sog. Drehscharniergelenk, d.h. es kann sowohl gebeugt, als auch gedreht werden. Die wesentlichen Stabilisatoren des Kniegelenkes sind neben der Muskulatur die Seitenbänder des Kniegelenkes (Innenband, Außenband), die Kreuzbänder (vorderes und hinteres Kreuzband) und die Menisken (Innenmeniskus und Außenmeniskus).

Die Oberfläche des Kniegelenkes ist ausgekleidet mit einer Knorpelschicht, dem sog. hyalinen Knorpel. Es handelt sich hierbei um glattes, gefäßloses Gewebe, welches sich durch hohe Elastizität und Druckfestigkeit auszeichnet. Die glatte Knorpeloberfläche ermöglicht ein reibungsarmes Gegeneinanderbewegen der Gelenkpartner.



Arthrose

Arthrose ist eine durch Verschleiß bedingte Erkrankung des Gelenkknorpels, der das altersübliche Ausmaß übersteigt. Die Ursachen hierfür sind vielfältig (Genetik, Überlastung, Alter, Gewicht, Sport) und geht in der Regel mit einer schmerzhaften Entzündung der Gelenkschleimhaut einher (Arthritis).

Neben präventiven Maßnahmen wie Anpassung der sportlichen Aktivitäten ggf. Gewichtsreduktion, Muskelaufbautraining kommen neben physiotherapeutischen Maßnahmen und/oder entzündungshemmenden Medikamenten bedarfsweise auch Gelenkinjektionen (z.b Hyaluronsäure- Injektionen) zum Einsatz.

Bei fehlgeschlagenen konservativen Therapiemaßnahmen und anhaltenden Beschwerden sind wahlweise auch operative Therapiemaßnahmen zu erwägen. Abhängig vom Alter des Patienten und vom Ausmaß des Knorpelschadens werden verschiedene operative Therapien angeboten.

Mikrofrakturierung:

Im Rahmen einer Gelenkspiegelung (Arthroskopie) wird der unter dem Knorpel liegende Knochen mit speziellen Ahlen oder Bohrern eröffnet. Das Blut, das den Defekt füllt, enthält körpereigene Reparaturzellen (sog. Stammzellen). Nach ca. 6 Wochen ist die Defektzone mit Knorpelersatzgewebe ausgefüllt. Zur Sicherung des OP-Erfolges ist eine Teilbelastung des operierten Beines für einen Zeitraum von 6 Wochen erforderlich.

 

ChondroFiller Liquid (ein zellfreies Kollagenimplantat):

Bei dieser sehr schonenden arthroskopischen Operation wird ein zellfreies Kollagen in die Knorpeldefektzone injiziert und eine homogene Knorpeloberfläche hergestellt . Das Implantat besteht aus Kollagen Typ I, welches der Hauptbestandteil des körpereigenen Knorpels ist. Innerhalb weniger Minuten  bildet sich ein formstabiles Hydrogel, welches die Knorpeldefektzone vollständig ausfüllt. Aus der Umgebung wachsen körpereigene Knorpelzellen ein, welche schließlich zur Ausbildung eines knorpelähnlichen Regeneratsgewebes führt.

Zur Sicherung eines erfolgreichen Operations-Ergebnisses ist eine Teilbelastung von 6 Wochen postoperativ erforderlich.

Knorpel-Knochentransplantation (OATS):

Die Vorteile dieser Methode sind:

- es ist nur eine Operation erforderlich

-gute Verträglichkeit, sehr risikoarm, kurze OP-Zeiten

- keine Anbohrung oder Verwendung von Fibrinkleber erforderlich

 

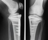
Umstellungsosteotomie:

In manchen Fällen ist der Knorpellverschleiß  entweder auf das innere oder
äußere Areal beschränkt. Dies geschieht häufig bei langjährigen einseitigen
Belastungen des Gelenkes wie z.B. bei O- oder

X-Bein - Fehlstellungen oder auch nach Voroperationen bzw. nach bestimmten Gelenkbrüchen. In solchen Fällen wird abhängig vom Alter des Patienten und dem Beschwerdeausmaß die Geradestellung bzw. eine leichte Überkorrektur der Gelenkachse empfohlen mit dem Ziel, das geschädigte Gelenkareal zu entlasten und die Hauptbelastung auf das unverletzte Areal zu richten.

Endoprothetik:

In fortgeschrittenen Fällen, wenn ein großflächiger, schmerzhafter Gelenkverschleiß vorliegt und sämtliche oben genannten Therapieoptionen nicht mehr sinnvoll sind, dann ist - bei entsprechenden Beschwerden - die Therapie der Wahl der Gelenkersatz. Hierbei wird das verschlissene Gelenkareal durch eine künstliche Metalloberfläche ersetzt und zwischen diese Metallpaarung wird als Puffer und zur Verbesserung des Reibungsverhaltens eine Kunsstoffplatte (Polyethylen) eingebracht.

Kreuzband

Das vordere Kreuzband ist ein wichtiges Band zur Stabilisierung des Kniegelenkes. Im Falle eines Kreuzbandrisses ist in aller Regel ein muskuläres Aufbautraining zur Kompensation der Instabilität nicht ausreichend. In Folge der verbleibenden Instabilität kann es zu einer vorzeitgen Arthrose kommen. Daher wird insbesondere beim jüngeren Patienten eine vordere Kreuzbandersatzplastik zur Vermeidung dieser Folgeschäden
empfohlen.

Vordere Kreuzbandersatzplastik:

Als Ersatz für das fehlende Kreuzband kann entweder die Semitendinosus/Gracilissehne entnommen werden oder auch wahlweise die Patellasehne. Welche dieser beiden Verfahren zum Einsatz kommt, hängt von verschiedenen individuellen Faktoren ab und wird im Einzelfall mit Ihnen besprochen.

Hintere Kreuzbandersatzplastik:

Nachdem das hintere Kreuzband deutlich dicker und fester als das vordere ist, ist auch ein Riss dieses Bandes eher die Ausnahme. Dennoch ist wegen der erheblichen Bedeutung dieses Bandes für die Stabilität des Kniegelenkes eine operative Stabilisierung zur Vermeidung einer posttraumatischen Arthrose in aller Regel erforderlich. Auch hier kommen wahlweise die Semitendinosus/Gracilissehne bzw. die Patellasehne zum Einsatz.

Meniskus

Im Kniegelenk gibt es sowohl einen Innen- als auch einen Außenmeniskus, welche sowohl eine dämpfende, als auch stabilisierende Funktion haben. Ca. 90% des Meniskusgewebes haben keine Blut- bzw. Nervenversorgung. Daher ist die Mehrzahl von Meniskusrissen nicht auf konservativem Wege zur Heilung zu bringen und es wird daher bei entsprechenden Beschwerden die Entfernung des störenden Meniskusgewebes empfohlen. In einigen Fällen, bei geeigneten Rißformen (z.B. dem sog "Korbhenkelriß") kommt auch eine meniskuserhaltende Naht zur Anwendung. Hierbei wird der Riß mittels spezieller bioresorbierbarer Anker refixiert. Nach einer Meniskusnaht ist zum Schutz des Operationsergebnisses jedoch eine Enlastung mittels Unterarmgehstützen für eine Dauer von bis zu 6 Wochen erforderlich.

Aktuelles

Das Praxisteam ist infolge der Insolvenz des Diakoniewerkes München Maxvorstadt am 10.11.2025 in die Sonnenstrasse 17 in 80331 München umgezogen.

 

Dr. med. Stephan Kückelmann

Sonnenstrasse 17
80331 München



Telefon  +49 89 2000 218 95



Telefax  +49 89 2000 218 91

 

mail        info@drkueckelmann-cms.de



Unsere Sprechzeiten

(nach telefonischer Vereinbarung):

Montag             08.00 - 12:00 & 13-00 - 17.00 Uhr

Dienstag           08.00 - 12:00 & 13:00 - 17.00 Uhr

Mittwoch          08.00 - 15:00 Uhr

Donnerstag      08.00 - 12:00 & 13:00 - 17.00 Uhr

Freitag               08.00 - 12.00 Uhr

 

Patienteninfo

Wissenswertes rund um Ihren Praxisbesuch.

mehr