Die moderne Fußchirurgie setzt ihren Schwerpunkt auf eine umfassende Analyse und Diagnostik Ihrer Fußform und der damit verbundenen Beschwerden. Ziel der Behandlung ist zum einen die Wiederherstellung einer natürlichen und ästhetischen Fußform und zum anderen die Verbesserung der individuellen statischen und dynamischen Belastbarkeit des Fußes.

 

Welche Methoden stehen zur Verfügung?

 

Bei Vorliegen eines Großzehenballens bzw. Abweichung der Großzehe in Richtung Fußaussenseite ohne damit verbundene Schmerzen können konservative Therapieversuche gerechtfertigt sein. Hierzu gehören das Tragen von weitem Schuhwerk, spezielle Einlagen, in seltenen Fällen lokale Injektionen, Krankengymnastik zur Kräftigung der Fußmuskulatur, etc.

 

Bei Vorliegen von belastungsabhängigen Schmerzen im Vorfußbereich trotz oben aufgeführter konservativer Behandlungsversuche  und/oder bei wiederkehrenden Entzündungen im Bereich des Großzehenballens kommen je nach individueller Fußform verschiedene operative Methoden zur Anwendung.

 

Die Frage, welche operative Maßnahme jeweils angewendet werden sollte, ist komplex und hängt von vielen verschiedenen Faktoren ab. 

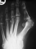
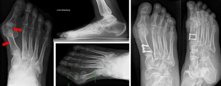
Hallux valgus

 

Der Hallux valgus ist eine klassische Zivilisationskrankheit. Frauen sind deutlich häufiger betroffen als Männer. Es wurden in der Geschichte der Vorfußchirurgie eine Vielzahl an verschiedenen OP-Verfahren beschrieben. Insgesamt über 200 verschiedene Methoden. Die meisten dieser Therapieansätze konnten sich jedoch aufgrund mannigfaltiger Nachteile nicht halten.

 

Die Entscheidung über das geeignete OP-Verfahren zur Therapie des Hallux valgus hängt von dessen Stadium ab. Dieses wird anhand der klinischen Untersuchung und der Röntgendiagnostik festgelegt. 

 

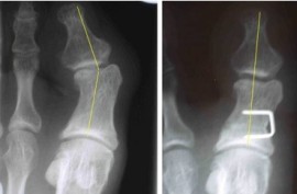
Chevron-Osteotomie:

 

Diese OP-Methode kommt bei milden bis mittleren Abweichungen der Großzehe zur Fußaußenseite hin zur Anwendung. Der Winkel zwischen dem 1. und 2. Mittefußstrahl (IM-Winkel) sollte einen Winkel von 15° nicht überschreiten. Das Köpfchen des 1. Mittelfußknochens wird hierbei soweit zur Fußaußenseite hin verschoben, bis eine gerade Ausrichtung der Großzehe erzielt wird. Das Korrekturergebnis wird mittels einer Schraube gesichert. Gleichzeitig wird die Kapsel am Großzehengrundgelenk außenseitig gelockert und innenseitig gerafft. 

Die Nachbehandlung erfolgt im Entlastungsschuh für etwa 3-4 Wochen. Danach sollte für weitere 6 Wochen weites und bequemes Schuhwerk getragen werden.

 

 

 

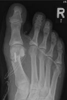
Basisosteotomie des 1. Mittelfußstrahles:

 

Dieses OP-Verfahren kommt bei größeren Abweichungen der Großzehe und bei einem IM-Winkel ab 15 Grad zur Anwendung. Durch diese Methode kann ein größeres Korrekturergebnis an der Großezehe erzielt werden, da das Köpfchen des 1. Mittelfußstrahles noch weiter zur Fußaußenseite hin verschoben werden kann. Der Knochenschnitt erfolgt hierbei an der Basis des 1. Mittelfußknochens und wird nach erfolgter Korrektur mittels einem Titanplättchen und 4 Schrauben  stabilisiert. Es handelt sich hierbei um sehr kleinvolumiges Material und kann in aller Regel belassen bleiben.

Auch hierbei erfolgt die Nachbehandlung mittels eines Vorfußentlastungsschuhs, welcher für insgesamt 4 Wochen nach der Operation getragen werden sollte. Wie auch bei dem oben genannten OP-Verfahren ist eine Vollbelastung mit diesem Spezialschuh ab dem 1. postoperativen Tag auch ohne Gehhilfen möglich.

Akin-Osteotomie:

 

Gelegentlich ist auch eine Korrektur im Bereich des Großzehegrundgliedes notwendig, um eine optimale Ausrichtung der Großzehe erzielen zu können. Dies ist dann der Fall, wenn die Großzehe in sich selbst gekrümmt verläuft. Dieses Verfahren kommt nur selten als isoliertes OP-Verfahren zur Behandlung des Hallux valgus zur Anwendung. Es wird jedoch gelegentlich in Kombination mit den oben genannten OP-Methoden angewendet.

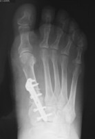
Lapidus-Arthrodese:

 

Die Versteifung im TMT-Gelenk (der Gelenkverbindung zwischen der Fußwurzel und dem 1. Mittelfußstrahl) ist fortgeschrittenen Fällen vorbehalten, bei denen neben einer Hallux valgus Fehlstellung der Großzehe auch eine erhebliche Lockerung des Bandapparates im inneren Fußwurzelbereich vorliegt. Diese Operation wird bei ausgeprägten Hallux valgus Fehstellungen angewendet. Das lockere innere Fußgewölbe, welches zur Vorfußdeformität geführt hat, wird stabilisiert. Ziel der Operation ist neben der korrekten Ausrichtung der Großzehe, die Belastungsfähigkeit des inneren Fußgewölbes zu rekonstruieren. Dies erfolgt mittels einer winkelstabilen Titanplatte. Eine postoperative Teilentlastung für 4-6 Wochen mit Unterarmgehstützen bis zur knöchernen Ausheilung ist erforderlich.

Aktuelles

Das Praxisteam ist infolge der Insolvenz des Diakoniewerkes München Maxvorstadt am 10.11.2025 in die Sonnenstrasse 17 in 80331 München umgezogen.

 

Dr. med. Stephan Kückelmann

Sonnenstrasse 17
80331 München



Telefon  +49 89 2000 218 95



Telefax  +49 89 2000 218 91

 

mail        info@drkueckelmann-cms.de



Unsere Sprechzeiten

(nach telefonischer Vereinbarung):

Montag             08.00 - 12:00 & 13-00 - 17.00 Uhr

Dienstag           08.00 - 12:00 & 13:00 - 17.00 Uhr

Mittwoch          08.00 - 15:00 Uhr

Donnerstag      08.00 - 12:00 & 13:00 - 17.00 Uhr

Freitag               08.00 - 12.00 Uhr

 

Patienteninfo

Wissenswertes rund um Ihren Praxisbesuch.

mehr